Viruses – How do
they cause disease?
|
Background |
Viruses
are very small and the word means ‘filterable’. Once bacteria were recognised
down the microscope by Pasteur many diseases became associated with
particular bacteria such as Pasteurella or Salmonella (discovered by Dr
Salmon). It soon became apparent that
some diseases were not associated with the ‘new’ bacteria and the disease
could still be transmitted after all bacteria were removed by filtration. These diseases were then called viral. Foot and Mouth was the first virus
recognised. |
|||||
|
Viruses
cannot replicate on their own, they require other living organisms (some even
parasitize bacteria) to replicate. |
||||||
|
Viruses
are classified into two main types depending on the type of genetic material: DNA viruses
have their genetic material similar to our chromosomes (the genetic material
needs to be transformed into RNA to make proteins) and RNA
viruses which have their genetic material in the form from which proteins are
made. |
||||||
|
After
genetic material classification viruses may have an envelope of
lipid (fat) materials. Those viruses
with an envelope are more susceptible to disinfectants as the disinfectant
removes the envelope rending the virus incapable of survival |
||||||
|
The
other characteristics of viruses are determined by their size or shape. Viruses
that infect bacteria are called bacteriophages Parvovirus
are very small and round (Parvo means small in Greek) Influenza
viruses are very long Coronaviruses have protein projections that make them
look like a crown or corona |
||||||
|
It is
important to note however, that the vast majority of viruses live quite
harmlessly in our bodies cells and do not cause any
significant or recognised problem. |
||||||
|
Treatment |
Because
viruses do not replicate on their own there is no specific
treatment thorough antibiotics.
Antibiotics work against bacteria because they will either kill the
bacteria or affect their replication ability.
There are a few antiviral medicines but they are very expensive and
are not really available to pigs. |
|||||
|
How to treat viral diseases – the basics |
Keep
the disease agent out through good biosecurity |
|||||
|
Use
the bodies own difference mechanisms through vaccines and antibodies |
||||||
|
Reduce
the stress on the animal by good management – pig flow and management of the
water, food, floor and air systems. |
||||||
|
Treat
any sick pig promptly and appropriately – classically through a hospital pen |
||||||
|
Are there things smaller than viruses? |
||||||
|
|
The prion diseases (CJD of man and BSE in cattle for example)
are diseases where the infectious agent is without any nuclear material and
appear composed for lipid and proteins only.
These diseases have not been recognised anywhere in the world in
farmed pigs. |
|||||
|
The major virus diseases of pigs |
|
|||||
|
Virus name |
Family |
Genetic |
Envelope |
Comments |
|
|
|
Adenovirus |
Adenoviridae |
DNA D |
+ ve |
|
|
|
|
African Swine
Fever |
Un-named |
DNA D |
|
Insect borne |
|
|
|
Aujeszky’s
Disease |
Herpes Virus |
DNA |
+ ve |
Pseudorabies |
|
|
|
Blue Eye Virus |
Paramyoxoviridae |
RNA |
+ ve |
|
|
|
|
Circovirus |
Circoviridae |
DNA S |
- ve |
Two types I and II |
|
|
|
Classical Swine
Fever |
Flaviviridae |
RNA |
+ ve |
CSF Hog Cholera Note BVD and Border’s can infect. Pestivirus |
|
|
|
Coronavirus |
Coronaviridae |
RNA |
+ve |
Several types, TGE, PRC, ED, HEV |
|
|
|
Cytomegalovirus |
Herpesviridae |
DNA |
+ ve |
|
|
|
|
Eastern Equine
Encephalomyelitis |
Togaviridae |
RNA S |
- ve |
Also similar West Nile Virus |
|
|
|
Encephalomyocarditis virus |
Picornaviridae |
RNA |
- ve |
|
|
|
|
Enterovirus |
Picornaviridae |
RNA |
- ve |
Numerous types – Talfan, Teshen, SMEDI |
|
|
|
Foot and mouth |
Picornaviridae |
RNA S |
- ve |
FMD |
|
|
|
Hepatitis E virus |
Caliciviridae? |
RNA S |
- ve |
|
|
|
|
Japanese Encephalomyelitis
virus |
Flaviviridae |
RNA |
+ ve |
|
|
|
|
Nipah virus |
Handra virus |
RNA S |
+ ve |
Paramyoxoviridae |
|
|
|
Menangle Virus infection |
Paramyxovirus |
RNA |
+ ve |
|
|
|
|
Parvovirus |
Parvovirus |
DNA S |
- ve |
|
|
|
|
Porcine Mycocarditis virus |
Bungowannah |
RNA |
+ve |
Related to Pestivirus |
|
|
|
Porcine
Reproductive and Respiratory Syndrome Virus |
Arterividae |
RNA |
+ ve |
PRRSv |
|
|
|
Rabies |
Rhabdoviridae |
RNA |
± ve |
|
|
|
|
Reovirus |
Reoviridae |
RNA |
- ve |
|
|
|
|
Rinderpest |
Paramyxovirus |
RNA |
+ve |
|
|
|
|
Rotovirus |
Reoviridae |
RNA |
- ve |
Mainly type A |
|
|
|
Swine Influenza |
Orthomyxoviridae |
RNA Segmented |
+ ve |
SIV Several
types based on H and N antigens. |
|
|
|
Swine Vesicular
Disease |
Picornaviridae |
RNA S |
- ve |
An enterovirus |
|
|
|
Swine Pox |
Poxviridae |
DNA D |
+ ve |
|
|
|
|
Torovirus |
Torovirus |
RNA |
+ve |
Related to Coronavirus |
|
|
|
Torque Teno Virus |
Anellovirus |
DNA |
- ve |
Related to Circovirus |
|
|
|
Vesicular
exanthema |
Caliciviridae |
RNA S |
- ve |
|
|
|
|
Vesicular stomatitis |
Rhadboviridae |
RNA S |
± ve |
Affects horses as well |
|
|
|
West Nile Virus |
Flaviviridae |
RNA |
+ ve |
|
|
|
|
The major sites where viruses of the pig
can be found |
|
|
Some electronmicroscope
pictures of virus
|
|
|
|
Influenza virus |
Coronavirus |
|
|
|
|
Parvovirus |
Picornovirus |
|
|
|
|
SVD - Rhabdovirus |
Herpes
virus |
|
|
|
|
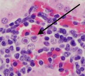
Intranuclear inclusion bodies – DNA virus Adenovirus |
Intracytoplasmic inclusion bodies – RNA typically (PCV2 botyroid bodies demonstrated) |